12/31/08
Mamaw update
Mamaw
12/28/08
New book, new dessert
Crazy Christmas week around here. Will update about the holiday and my parent's visit later. For now, I wanted to get a blog out there about 2 things I've discovered this past week.
I love to read. My nightly ritual, in fact. I'm particularly a fan of Christian fiction (like the "Love Comes Softly"series by Janette Oke or the "Mark of the Lion" series by Francine Rivers both of which I've read all of). I've now discovered a series of Historical Christian Fiction and, IMO, it rocked! I'm ready to jump into book 2 of "The House Of Winslow" series by Gilbert Morris. The first book "The Honorable Imposter" was excellent and centered around the sailing of the Mayflower. You should check it out. Easy read, loved the interjection of history (although admittedly I couldn't tell you how much of it was accurate), and a love story to boot (very clean, btw).
And, if you're looking for a cheap way to curb a sweet tooth, here's a great dessert!
Ingredients:
milk
1 package of chocolate chip cookies
1 tub of cool whip
Pour milk into the bottom of a bowl. Soak the cookies individually for just a second. In a small casserole dish (like a 1 qt, perhaps (?) -- certainly not anything cake pan size although it would be very simple to double this recipe to fit a standard 9x13 cake pan), layer the bottom with milk-soaked cookies. Then add a thin layer of the cool-whip. Continue layering until you near the top (I think my Mom had 4 layers but I'm not sure). Then add the remaining cool whip and crumble any remaining cookies on top for decoration. Let sit in refrigerator for a few hours before serving and that's it. My personal favorite part of this dessert was actually hitting a chocolate chip from one of the cookies so I think adding mini-chocolate chips to the top of the cool-whip layers would be great although you certainly wouldn't want too many. Or if you run out of cookies, that would certainly make a great topping for decoration. Either way, I plan on adding them next time. Someone said something about it sounding too sweet and I can definitely say that didn't happen.
Happy reading and eating!
12/24/08
What a difference a year makes!
And here we sit, exactly one year later. The Lord has certainly stretched me beyond what I thought I could handle with Timothy's breathing issues and hearing loss. But as I sit here this morning, watching him pull himself up to standing by the couch, feeding him oatmeal (he loves the cinnamon roll flavor!), wrestling him for over 5 minutes to get his hearing aid in his ear, listening to him babble and cry, with the realization that he's got a baby sister coming in less than 100 days, I'm amazed at what a difference a year can make, at what strength God gave us to endure what we have endured. And I wonder what surprises are in store for us this next year with a new addition to the family and the drs appointments Timothy continues to go through. If the Lord wills, we'll be blessed to watch John turn 4 (and hopefully be potty-trained?!?!) and Elizabeth turn 5, both in May. And Nathan will hit double digits in July, turning 10. And then the Christmas season will come again, if the Lord wills, and we'll watch Caleb turn 7 and Timothy turn 2, not to mention the multitude of things Lydia will probably go through in her first 9 or 10 months of life. If the Lord wills..... Never have I realized more than this year exactly what that means. And never have I been more grateful.
I wish you all a very blessed Christmas!
12/21/08
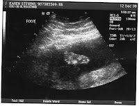
Fun with ultrasound pics, part 2





Fun with ultrasound pics, part 1




12/18/08
3 blog posts in 1 day?!?!
Good news for OH homeschoolers
December 17, 2008
Ohio--No Change to 08 School Regulations
Dear HSLDA Members and Friends,
We are pleased to be able to share good news with you. After the legislatively mandated 5 year review of the regulations governing non-chartered, non-tax supported schools, the Ohio Department of Education (ODE) has told HSLDA that it will not recommend any changes to the regulation and that therefore the State Board will not be making any changes.
That means that everything stays the same as far as homeschooling laws/regulations in the state of Ohio. It's scary what some families go through in some states and other countries for the "right" to homeschool their children. I pray my children have the same freedoms I do when they're having children of their own!
Little behind on posts....
Then some funnies. Turned around and saw Elizabeth like this the other day in the play pen with a pacifier....
And I came out of the room on Tuesday to hear them laughing hysterically and singing a version of "Jingle Bells" except they were saying "Jingle Buddies". "Buddies" is what they call Timothy. Lo and behold, I find them putting Elizabeth's Christmas headband -- with tiny jingle bells on it -- on the little guy. Perhaps a glimpse of what Lydia might look like?!?! Once I took a picture of Timothy, John decided to get into the act with Elizabeth's green sparkly headband saying he was "Sparkly John-John".
And while I don't have a picture to share -- I thought it was sooo cute to watch Timothy "talk" on the phone with my dad the other day. Nothing more than "Ah" over and over but he was certainly trying to talk. And I think that's it. Busy week coming up! Timothy goes for a hearing aid appointment tomorrow, got to finish up Christmas shopping, and then got to get ready for Mamaw and Papaw's arrival on Christmas Day!! I can't believe Christmas is already here! YIKES! :0
12/10/08
12/8/08
Happy birthday, Justin!

Timothy (L) and Justin (R) in October at a baby shower
12/6/08
12/5/08
Good news from the OB....Urgent Care, take 2
But then there's the rest of this post....Nathan....Fever started on Thursday morning (so church friends beware!) but by this afternoon, it was over 103 and he was talking funny so I knew things were getting crowded back in the throat. Indeed, his tonsils were huge! Getting a strep test done was a treat. Nathan may only weigh 58 pounds but it took 1 nurse to hold his hands while I held his head while the other nurse took the test. Then the dr comes into tell us that it is indeed strep throat and tells me I have 2 options for treatment (I'm sure you can all see where this is going....). Much to Nathan's dismay, I chose the faster injection, I mean, option. Took him FOREVER to "get into position", having to have his mp3 player and headphones and having to be promised a milk shake and a trip to the store with $5 (okay, so maybe that was overkill but I was still reeling from holding him down for the strep test). Anyway, now I'm sitting here wondering a few things -- 1, tomorrow night is our Sunday School class' Christmas party and Nathan will be 1 hour shy of his 24-hour no-longer-contagious cutoff (do we take him?!?); 2, are any of my other kids coming down with it and I don't know about it yet (and again, do we take them?!?!)?; and 3, Nathan went to church on Wednesday night as we all did so I'm wondering who we exposed....Here's praying all is well tomorrow! *sigh*
12/4/08
It's official
12/3/08
Nurse's visit
12/2/08
Surprising results
Nathan weighs 58 pounds (25th percentile) and is approximately 53 inches tall (50th percentile) so he's average in height and a little on the small side
Caleb weighs 42 pounds (50th percentile) and is approximately 45 inches tall (50th percentile) so he's average in height and weight
Elizabeth weighs 39 pounds (WOO HOO!) (approx. 40th percentile) and was 43 inches tall (90th percentile) so she's nearly average in weight (finally) and very tall for her age
John weighed only 35 pounds (gasp!) (50h percentile) and 41 inches tall (75th percentile) so he's average in weight and a little on the tall side
And last but not least, Timothy weighed 23 pounds, 14 ounces (approx. 60th percentile) and 28 inches tall (approx. 25th percentile) so he's a little over average for weight and a little under average for height
In case "percentiles" have never been explained to you, let me take a stab at it. We'll use Timothy's numbers. Timothy is in the 25th percentile for height. That means if you measure him up against all other one year old little boys, approximately 24% of them will be shorter than he is and approximately 75% of them will be taller than he is. And for weight, approximately 60% of all one year old little boys will be smaller than he is and 40% will weigh more than he does. The basic idea is this -- you want to be as close to the 50th percentile in both numbers as possible. Okay, bed time now -- must run!
Happy 6th Birthday, Caleb!

(Caleb at 3)(Caleb helping his dad put together the new bunk beds last weekend)
Too cute!
http://www.citizenlink.org/videofeatures/A000008654.cfm
Also, Leah had commented on our bunk beds in the last post. Well, Leah, the first set came from KMart and we really like them. They're wood and I believe the cost somewhere around $200 (gift from Jonathan's parents). This second set we just put up is a metal set, which we really didn't want to have, but they were free from our next-door neighbor who's girls were getting ready to be in their own rooms. So we have a lovely metal set of bunk beds which cost us nothing! KMart periodically puts their bunk beds on sale so watch the circulars.
Post coming later to celebrate someone's birthday!!
12/1/08
Busy, busy, busy
Last Thanksgiving we decided we wanted to start a tradition of our own, one that we could continue whether we were celebrating with Jonathan's family here at home or with my family in South Carolina and/or Tennessee. So we decided that every year there was a kid friendly movie playing, we'd take the kids to the movies on Thanksgiving. Last year, I don't remember what movie it was (I think it was "Bee Movie") but we could only find whatever-movie-it-was at the dollar theater. Turns out the dollar theater had been robbed the night before and has never reopened. So, no movie last year. But, we were succeesful this year! We thoroughly enjoyed "Bolt" and highly recommend it. Good clean, kid-friendly, interesting but not scary, family movie! John's fever was breaking by that point so we had a successful trip. Nathan was the only one that needed a bathroom break and Timothy only got cranky once. After the movie, we headed to Jonathan's family's dinner, ate some very good grub, and then us ladies played Hand and Foot (a card game, not a disease).
Friday Jonathan was off again so we decided to conquer 2 big projects. #1 was setting up a new set of bunk beds in the kids' room. We already have 1 set of bunk beds in that room with Nathan on top. Caleb, originally on the bottom of the 1st set, now resides on the top bunk of the new set. While we're waiting on 2 new twin mattresses, John and Elizabeth's toddler mattresses are in a T shape on the bottom of the new set and that seems to be working out. Very, very crowded in there now but, hey -- what's a growing family to do?!? We also got down the Christmas tree and other decorations. Tree went up Friday night; other decorations went up last night.
Saturday we had decided to take the kids to the zoo to see Wildlights. Elizabeth already had plans to spend the night with her cousin Kaylee and her grandparents. So when they called and said they'd like Elizabeth at 5, we decided the zoo was out since it would just be getting dark around then. Off to COSI, we decided, but stopped to get lunch first. That's when we saw that Caleb was acting awfully weird. Yep, his turn with the virus that Nathan and John had already had. So, back home we went after lunch. I went to the store to gather cookie making supplies for next week's cookie exchange and did a little Christmas shopping. Dropped Elizabeth off, ran to Target for another few minutes of quiet Christmas shopping, then home to watch Wall E with the boys.
Yesterday was church but, of course, Caleb was sick and Tiimothy was still sick. John still was questionable so I stayed home with those 3 yesterday morning. Went last night but only because I had nursery and the kids (Nathan, John, and Elizabeth) needed to get to choir, if at all possible with the Christmas programs coming up. With Timothy still no better today, I decided we needed another visit to the dr and turns out I was right -- another sinus infection and this one is worse than the one he had a few weeks ago. So we're going to start with a 10 day set of antibiotics, a different one this time, and if that doesn't work, we'll go for the full 20 days. John's still got a runny nose but Caleb's fever broke yesterday. That leaves Elizabeth, me, and Jonathan....
Please pray for us in a few specific areas:
#1 -- that little Timothy will be able to get well so that we might not have him in and out of the drs office all winter
#2 -- that my drs appointment on Friday will show that I'm holding stable
#3 -- that we would be able to find someone to come in and help me a few days a week with the youngest 3 so that I can work with Nathan and Caleb on getting school done (any volunteers?). School is really suffering around here and we are prayerfully considering what step, if any, to take next.





